
Perth Podiatrist Condition Highlight – Heel Spurs
October 12, 2017Welcome to this months condition in focus on our Perth Podiatrist blog. This month we’ll be discussing Heel Spurs.
Discovering their common causes, dispelling some common myths and misconceptions then together we will identify the key signs and symptoms that indicate their presence. Don’t worry heel spur pain can be quickly and effectively treated by our Perth Podiatrists at Foot & Leg Podiatry. We are conveniently located in Perth with a clinic in Bassendean and another in Mount Lawley. If you’re worried you may be suffering from heel spurs, professional advice should be sought to diagnose their presence. An appointment at our podiatry clinic is only a phone call or web enquiry away with no referral required, making it easier then ever to find a solution to your heel spur problem.
Disclaimer: This is simply a general discussion regarding heel spurs by our Perth podiatrist, any advice & information is general in nature and not to be taken over the advice of a qualified medical professional or Perth podiatrist who is aware of your specific injury details. I hope this blog spurs your interest in the topic – pun intended, so without further delay let’s find out more about Heel Spurs!
What is a Heel Spur?
Simply put a heel spur is an excessive deposit of bone at the heel. These often form along a line of tendon traction at points where the tendon attaches to the bone. A bone spur can occur anywhere in the body at these attachment points. When we refer to a ‘heel spur’ we are simply referring to a spur on the calcaneus bone – the correct anatomical term for your heel bone.
What Causes a Heel Spur?
Tendons are what connect muscles to bone. When muscles are excessively tight for extended periods they in turn cause a shortening of the connected tendon attachment point. An excessive pull at this point will irritate the boney attachment. If this pull lasts long enough or is acute enough then it will cause damage and irritation to the boney attachment. As part of the repair process your body will lay down more bone along the line of muscular pull to secure the attachment point and prevent a future tear.
Where do heel spurs most commonly form?
As you might guess heel spurs commonly form at the site of the most frequently tight and most active muscles in your leg. Remember that in anatomical circles ‘leg’ refers to the knee down portion of your lower limb and is what we refer to above. There are three attachments that commonly form heel spurs worth a mention below:
-
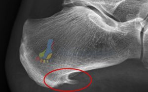
The Calf Muscle Attachment (Posterior Heel Spur):
- The number one muscle that is tight in at least 95% (anecdotal figure) of patients is the calf muscle. As a result on imaging we can typically see spurring, or at least excess bone deposit at the rear of the heel where your achilles tendon attaches to the heel bone. You can find an example of this shown on the foot x-ray below highlighted by the red circle.
-
The Arch Muscle Attachment (Plantar Heel Spur):
- the next common muscles that are tight in many patients experiencing heel pain are the arch muscles. Please be aware there are multiple arch muscles in the foot – here we’re over-simplifying the topic for ease of illustration but many share a similar attachment point at the bottom of the heel bone. You can find an example of this shown on the foot x-ray below highlighted by the red circle.
-
The Arch Ligament Attachment (Plantar Fascial Heel Spur):
- the final point that is rarely seen by itself but still worth a mention as it is a sign of long-standing plantar fascia attachment irritation of the heel bone is what we call the plantar fascial heel spur. This attachment point is the true attachment of the plantar fascia and irritation here is a sign of excessive strain through the plantar fascia. Bear in mind your plantar fascia is a strong ligament (bone to bone not muscle to bone with a tendon) so when this is pulling excessively your foot muscles have ‘given up’. You can find an example of this shown on the foot x-ray below highlighted by the arrow pointing at the red circle.
How long do heel spurs take to form?
To my knowledge no studies have been able to identify the exact timeframe relating to cause (excessive muscular pull/ligament pull) and effect (bone spur deposit) so it is impossible at this point to know for certain. This time would likely also be unique for each individual based on genetics. Should you be aware of a study please do enlighten us. However based on anecdotal evidence from the hundreds of patients examined in clinic and their supporting imaging it’s safe to say bone takes a LONG time to deposit. Somewhere in the realm of 6 months of consistent irritation at a minimum. That’s good news. BUT tight muscles aren’t painful with regular use. So you may have tight muscles that are causing a heel spur and not even be aware of it. That is until you end up consulting a Perth Podiatrist or presenting to your GP (General Practitioner) with a heel pain problem and being told you have ‘plantar fasciitis’.
Are Heel Spurs Painful?
If left untreated for long enough yes heel spurs can be painful, but at these times it’s important to remember the common cause – you’re tight muscles pulling at their attachments. Unfortunately tight muscles don’t often present to our Perth podiatrist until they’ve transitioned to strained painful muscles with tender heel spurs that are most painful in the morning. Chances are if you’re visiting a podiatry website it’s because of your heel pain, so this progression of symptoms may sound familiar to you.
Are Heel Spurs & Plantar Fasciitis the Same Thing?
This is a good topic for a future blog so our Perth podiatrist will be discussing it in more depth when we discuss Plantar Fasciitis – stay tuned.
Can I Remove a Heel Spur without Surgery?
Bones once formed are for life but this doesn’t mean your heel pain is. Unfortunately bone spurs don’t spontaneously re-absorb when you remove the excessive tendon pull, but it does stop your heel spur from growing in size. It’s also important to note that as long as you relieve the strained muscles you can relieve your pain so physical removal of the heel spur is not necessary in most cases. Interestingly we have seen cases where we’ve been able to catch heel spurs early, while they’re not fully formed bone more of a cartilage type substance and that can re-absorb if you relieve the muscular tension. An example of this heel spur re-absorption over 3 months is shown on the x-rays of the same patient after treatment below (individual results will vary):
How do I find out if I have a Heel Spur?
By taking a deeper look at your foot’s structural components (bones) with imaging. The most appropriate imaging study for your problem depends on your presentation. This means finding out about any previous injuries, your current activity level, any family history of foot pain. Once a detailed history is taken a thorough physical examination can be completed. Once we have a comprehensive picture of your problem your podiatrist will have the best way forward to diagnosing and treating your heel spur problem. Imaging our Perth Podiatrist commonly refers patients suffering from heel spurs for can include:
- Plan Film Foot X-Rays
- Foot MRI (Magnetic Resonance Imaging)
- Heel Ultrasound
- Foot CT (Computed Tomography) Scan
- Foot PET (Positron Emission Tomography) Scan
What do I do if I have a Heel Spur?
You may have a heel spur and not even know about it – but is that a bad thing? If a heel spur isn’t painful then there’s no need to treat it, however it may be worth identifying some preventative stretching exercises you can do to minimise your chances of it becoming painful in the future. Our university qualified Perth Podiatrist can help you navigate your heel spur journey. Should your heel spur be painful then our Perth podiatrist will be able to discuss the treatment options available to you. Depending on your degree of deformity and pain level, these treatments could include a combination of custom foot orthotics, some simple stretches, or even a targeted foot mobilisation program to rehabilitate your foot out of pain. Call our Perth Podiatry clinics or Book Now online and take the first step in tackling your heel spurs!
3 common myths our Perth Podiatrist is often asked about heel spurs?
-
I NEED Foot Surgery to Remove my Heel Spur
- It is true that the only way to remove a heel spur is with foot surgery. BUT this is NOT advised as the procedure typically destabilises the most important structure (plantar fascia) responsible for holding together your foot and the pain (strained muscle) typically remains if not worsens thanks to this ligaments removal. Obviously, your condition could be the exception so consulting a Perth podiatrist to exclude these exceptions would be appropriate.
-
My ONLY Treatment Option is Custom Foot Orthotics
- Thanks to the ever-growing experience and knowledge base of podiatrists world-wide we’re now able to offer multiple treatment options to patients suffering from heel pain. What treatment option is most appropriate for you depends on your condition and your choice. Our Perth Podiatrist can discuss the pros and cons of each treatment and from there you make your own heel pain treatment decision.
-
I Should only see a Perth Podiatrist once my Heel Spur Pain is Really REALLY bad
-
- Prevention is the best cure. Even if you have a small tickle at your heel, don’t let it become a constant disabling bruised type heel pain that takes over your whole life. Heel pain typically takes longer to treat the longer you leave it and heel spurs don’t spontaneously re-absorb. So if you don’t have a major pain then your podiatrist will tell you that and give you a clean bill of health. At the very least you’ll learn more about your lower limb and be given some tools or information to empower you to prevent pain from occurring. If you do have a painful heel problem then consulting a Perth podiatrist who can evaluate, examine and if necessary refer for imaging and treat your heel pain quickly and effectively will lead to your best outcome.
Book an appointment today with one of our trained Podiatrists by clicking HERE.
Rino Saint
Dr. Rino Saint is a passionate and innovative podiatrist based in Perth, dedicated to providing non-invasive care for foot and leg health. After earning his Podiatry degree from the University of Western Australia, Rino immersed himself in sports podiatry, where he identified the need for more comprehensive treatments beyond orthotics. Seeking to refine his approach, he trained under international foot mobilisation expert Ted Jedynak, mastering techniques that help patients avoid bulky orthotics, surgery, and drugs. Today, Rino’s expertise supports a diverse range of patients, including elite athletes, weekend warriors, and children, with a focus on conditions like heel pain and bunions. At Foot & Leg Podiatry, Rino leads a team of skilled podiatrists who prioritise patient care in a warm and welcoming environment.